La gastritis es una inflamación del revestimiento del estómago. Aunque el revestimiento del estómago es bastante fuerte y puede resistir ácidos fuertes, el beber demasiado alcohol, comer alimentos picantes o fumar puede causar que el revestimiento se inflame y se irrite.
Qué es la Gastritis?
¿Qué causa la gastritis?
La gastritis puede ser causada por lo siguiente:
Beber demasiado alcohol.Helicobacter Pylori = Gastritis = Úlcera
Aproximadamente el 50% de la población mundial tiene la bacteria H.pylori. Esta bacteria ha sido identificada como el agente causal de la úlcera péptica y se ha clasificado además como carcinógeno tipo I. Como resultado de su interferencia con la secreción de ácido por el estómago, esta bacteria es capaz de generar deficiencias en la absorción de nutrientes que pueden comprometer el estado nutricional de los individuos afectados y vincularse con la aparición de manifestaciones carenciales o con el agente causal de enfermedades crónicas (paragraph.com.au).- Comer alimentos picantes.
- Fumar.
- Usar por tiempo prolongado medicamentos antiinflamatorios no esteroides (NSAID su sigla en inglés).
- Infecciones por bacterias como E. coli, Salmonella o Helicobacter pylori.
- Cirugía mayor.
- Lesiones traumáticas o quemaduras.
- Infección grave.
- Ciertas enfermedades como la anemia megaloblástica (perniciosa), enfermedades autoinmunológicas y el reflujo biliar crónico.
A continuación se enumeran los síntomas más comunes de la gastritis. Sin embargo, cada individuo puede experimentarlos de una forma diferente.
Los síntomas pueden incluir:
- Malestar o dolor de estómago.
- Eructos.
- Hemorragia abdominal.
- Náuseas.
- Vómitos.
- Sensación de estar lleno o de ardor en el estómago.
- Sangre en el vómito o en las heces (una señal de que el revestimiento del estómago puede estar sangrando).
Los síntomas de la gastritis pueden parecerse a los de otras condiciones o problemas médicos. Siempre consulte a su médico para el diagnóstico.
¿Cómo se diagnostica la gastritis?
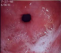
Además del examen y la historia médica completa, los procedimientos para el diagnóstico de la gastritis pueden incluir los siguientes:- Gastroscopia - durante el procedimiento, el médico introduce un tubo delgado con una cámara, llamado gastroscopio, a través de la boca del paciente y hasta el estómago para examinar su revestimiento. El médico busca indicios de inflamación en el revestimiento y puede tomar una muestra diminuta del revestimiento para exámenes (se conoce como biopsia).
- Exámenes de sangre (para medir el recuento de glóbulos rojos de la sangre y posiblemente detectar anemia, una condición en la cual no hay glóbulos rojos suficientes, lo cual puede causar gastritis).
- Cultivo de heces - busca indicios de la presencia de bacterias anormales en el tracto digestivo que pueden causar diarrea y otros problemas. Se recolecta una pequeña cantidad de heces y se envía al laboratorio por medio del consultorio del médico. En dos o tres días, el examen muestra si hay bacterias anormales; la presencia de sangre en las heces puede ser un signo de gastritis.
Que es Cólera?
El cólera es causado por un agente infeccioso; se trata de un bacilo aerobio, Gram negativo, con un sólo flagelo polar que le da gran movilidad llamado Vibrio cholerae. El vibrión del cólera sobrevive por periodos hasta de 7 días fuera del organismo, especialmente en ambientes húmedos y templados; en el agua sobrevive unas cuantas horas y algunas semanas si ésta se encuentra contaminada con material orgánico.
Vibrio cholerae 01 incluye dos clases de biotipos: El clásico y la variante el TOR; los dos biotipos se encuentran separados en dos serotipos principales: El Ogawa y el Inaba, raramente un tercer serotipo el Hikojima puede estar presente. Estos serotipos pueden cambiar durante las epidemias. Todos los serotipos producen enterotoxinas similares y también el cuadro clínico es muy semejante.
SÍNTOMAS
Los primeros síntomas de la enfermedad por Vibrio cholerae se presentan 2 a 5 días después de la infección y están dados por la acción de la toxina colérica que se fija a nivel de la membrana de la célula intestinal ocasionando vómito, evacuaciones líquidas muy abundantes con restos de mucosa intestinal "agua de arroz" y borborismos con dolor abdominal. La pérdida de agua por heces puede alcanzar cantidades como 15 a 24 litros por día, lo que ocasiona una deshidratación tan severa que puede matar al enfermo por choque hipovolémico y desequilibrio electrolítico y ácido base.Las evacuaciones prácticamente no tienen proteínas, las concentraciones de sodio son iguales a las del plasma; sin embargo, las concentraciones de potasio y bicarbonato son cinco veces mayores que las del plasma, de ahí que los pacientes con frecuencia desarrollen acidosis metabólica e hipocalemia. La mortalidad en casos hospitalizados y tratados adecuadamente a base de líquidos, electrolitos y glucosa es menor al 1%; sin embargo, en aquellos casos que no reciben una atención oportuna y adecuada, este porcentaje puede llegar hasta 60% sobre todo en niños menores de 5 años con desnutrición.
PREVENCIÓN
El cólera se transmite por contaminación del agua y alimentos y raramente por contacto con personas infectadas o enfermas a menos que no se cuente con las medidas básicas de higiene como es el lavado de manos después de evacuar y antes de comer. Medidas sanitarias como es el control y almacenaje de agua y alimentos bajo condiciones de higiene son más que suficientes para evitar la aparición de estos brotes epidémicos así como proporcionar la información necesaria a la población sobre formas de transmisión y medidas de aseo que eviten el contagio.Las excretas de portadores y enfermos deberán manejarse adecuadamente para evitar mayor diseminación del microorganismo. Para aquellas personas que entrarán en contacto con portadores de Vibrio cholerae algunos investigadores sugieren la toma de 1g de tetraciclina cada 24 horas durante cinco días. La utilización de la vacuna con vibrios muertos da una protección parcial y limitada situación que ha condicionado su ineficiencia para limitar los brotes epidémicos de un país a otro. (Fuente: Sistema Nacional de Vigilancia Epidemiológica).
Que es Fiebre tifoidea?
La fiebre tifoidea es una enfermedad infecciosa aguda provocada por una bacteria del género Salmonella. En la mayoría de los casos la infección se produce por consumir bebidas y alimentos contaminados. Destacan: la leche, el queso, los helados y otros derivados lácteos, los mariscos que crecen en lugares cercanos a puntos de eliminación de las aguas residuales, las verduras regadas con aguas fecales, los huevos, algunas carnes y el agua. El contagio directo entre el enfermo y las personas de su entorno es posible, pero no frecuente. Las moscas también pueden actuar como transmisores.Síntomas de Fiebre tifoidea
Se inicia con malestar general, debilidad, pérdida de apetito, dolor de cabeza y estreñimiento. Se mantienen durante unos cinco días, hasta que se inicia el periodo febril con cuarenta grados centígrados. Se deteriora el nivel de conciencia del enfermo, estado conocido como estupor y aparecen lesiones rojas en la piel que pueden permanecer durante 14 días. La evolución puede ser hacia la curación o complicarse con lesiones cardiacas severas, hemorragias gastrointestinales que pueden llegar a la perforación intestinal, alteraciones neurológicas importantes o cronificar la infección, dando lugar al estado de portador.Prevención
Los principales son controlar a los manipuladores de alimentos y a la conservación de la comida. También tratar adecuadamente las aguas residuales para evitar la contaminación de las aguas de consumo y la educación sanitaria de la población. Las medidas individuales son fundamentales:- Higiene básica, como lavarse las manos antes de comer.
- No comer alimentos preparados en puestos callejeros
- No tomar bebidas con hielo
- Abstenerse de tomar infusiones o té en lugares que no gocen de su confianza, a no ser que se hayan tratado correctamente o se hayan preparado con agua mineral.
- No ingerir productos lácteos, excepto si está completamente seguro de que han sido pasteurizados.
- Las verduras y hortalizas han de consumirse cocidas y cuando aún estén calientes. Si prefiere consumirlas crudas, debe sumergirlas previamente, durante al menos cinco minutos, en una solución de agua potable clorada con cuatro gotas de lejía de una concentración de 50 gramos de cloro por litro.
- La fruta debe ser lavada antes de pelarla.
- Los pescados y mariscos no deben consumirse crudos; deben ser hervidos al menos durante diez minutos antes de su consumo. La administración de vacunas no evita completamente el riesgo de padecer la enfermedad. Sin embargo, existen tres comercializadas claramente eficaces.
- Vacuna inactivada preparada con suspensiones de Salmonella typhi. Dos dosis por vía subcutánea con un intevalo de al menos cuatro semanas. Se debe administrar una dosis de recuerdo cada tres años.
- Vacuna inactivada preparada con antígenos purificados de la bacteria responsable de la enfermedad (Vi purificada). Una sola dosis por vía intramuscular en el deltoides. Dosis de recuerdo cada tres años si persiste el riesgo de exposición.
- Vacuna atenuada. Preparada con cepas de Salmonella typhi modificadas genéticamente para disminuir su agresividad. Se administra una cápsula cada cuarenta y ocho horas, con líquido frío aproximadamente una hora antes de la comida, hasta completar un total de tres. La dosis de recuerdo debe administrarse a los doce meses La elección se realizará en función de los antecedentes personales de quien vaya a recibir la vacuna, del lugar de destino, de la duración de la estancia en dicho lugar y de la existencia de contraindicaciones específicas. Para desplazamientos a zonas endémicas, la vacuna Vi purificada es la que requiere menos dosis y tiene menos efectos secundarios, pudiendo administrarse simultáneamente con otros antibióticos, lo que la convierte en la más recomendable.

La palabra bulimia significa hambre de buey y procede del griego boulimos (bous: buey; limos: hambre). Para las personas con bulimia, que afecta diez veces más a las mujeres que a los
muy bien amiga esta muy bien tu informacion. es muy importante esta informacion y las imagenes estan bien.
ResponderEliminar